News
New drug combination shows promise in treating acute myeloid leukaemia
31 May 2022
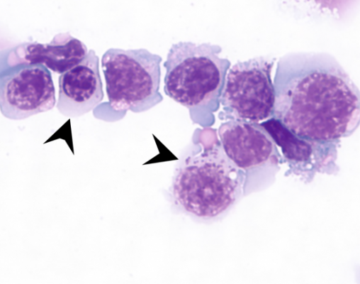
Research led by Peter Mac has found a new combination therapy for acute myeloid leukaemia (AML) that shows greater potency in a preclinical study than either drug used alone. AML is an aggressive type of blood cancer. When a patient has AML, immature abnormal white blood cells accumulate in the bone marrow, preventing the production of normal blood cells. In addition, these cancer cells are unable to fight infection themselves. In one regularly occurring type of AML, one of the drivers of the disease is a specific type of genetic abnormality. "A bit of the genome from one chromosome gets stuck on a bit of the genome from another chromosome – fusing two genes together to form a new gene that doesn't occur in nature," says Peter Mac's Professor Ricky Johnstone, co-senior author of the research. As a result of that genetic fusion, genes that should be off are now switched on and vice versa – leading to the development of leukaemia. Researchers have been looking at how to stop this from happening, as a way to develop new therapies against AML that are insensitive to conventional chemotherapy. "In this study we used a drug called a histone deacetylase inhibitor that dampens the cell's dysregulated response and slows down the growth of the leukaemia cells," says Peter Mac's Dr Pilar Dominguez, the other senior author on the research. "But it also had an additional effect that we weren't expecting." The drug caused one type of immune cells to produce a molecule called interferon, which has been known for decades to also have anti leukemic effects. It is also available as an FDA-approved drug. "Fortuitously, the histone deacetylase inhibitor was also telling the body to produce its own interferon," Professor Johnstone says. "The interferon acts on the leukaemia cells and ultimately results in death of the cancer cells," Dr Dominguez says. Based on these results, the researchers designed a potent combination drug therapy consisting of both a histone deacetylase inhibitor and interferon. This combination showed superior anti-leukaemia effects to those seen using either drug alone. "We hope this can be translated into a new approach to treat AML," Dr Dominguez says. This research was possible thanks to a multi-institutional collaboration between Peter Mac, The Alfred, Monash University, the QIMR-Berhofer Medical Research Institute, the Peter Doherty Institute, the Hudson Institute of Medical Research in Australia, the University of Düsseldorf in Germany, and the Princess Margaret Cancer Centre in Canada. It's been published in the June print issue of Cancer Discovery. Image: Treatment with a histone deacetylase inhibitor induces production of interferon by immune cells, which causes differentiation of leukaemia cells into normal blood cells and ultimately their death (differentiated cells are marked with an arrow).